
Helping cancer patients across Europe using AI
In our bodies, on the order of 100 trillion cells coexist. For the body to work, there needs to be just the right number of each type of cell. Like an orchestra, every instrument needs to be finely tuned to the collective. When one instrument takes over, the symphony collapses.
Cancer is a small part of the body gone rogue, no longer part of the larger collective, growing and dividing in an uncontrolled fashion, eventually leading to the death of the organism.
The archaeological record contains a two-thousand-year-old Egyptian mummy with a tumor pervading the pelvic bone, a jawbone with lymphoma from 4000 BC, and a 240-million-year-old stem turtle with Triassic cancer (Mukherjee, The Emperor of All Maladies (2010).
Cancer is old – and so is our knowledge of the disease.
The Egyptian physician Imhotep described it already in 3000BC-2500BC, lamenting that “unfortunately, there is no treatment.”
Today, thousands of years later, the picture is largely unchanged. Cancer deaths have increased by 75 % between 1990 and 2019, only showing a decrease when adjusting for increases in lifespan and population growth.
Source: Our World in Data
The big question is: why haven’t we gotten further yet despite all our magnificent technological advancements?
One reason is that cancer is much more complex than, for instance, going to the moon or splitting an atom. Cancer types come in hundreds. A multitude of different cell types evolve for single tumours, and each has its own genetic mutations. Cancer mutates wildly, adapts readily to treatments, and undergoes metastasis, spreading from its original site to other parts of the body.
Faced with this complexity, cancer researchers are forced to eye in on small pieces of the larger scientific puzzle. Fitting these small pieces into place in turn requires researchers and companies to engage in complex collaborations across borders.
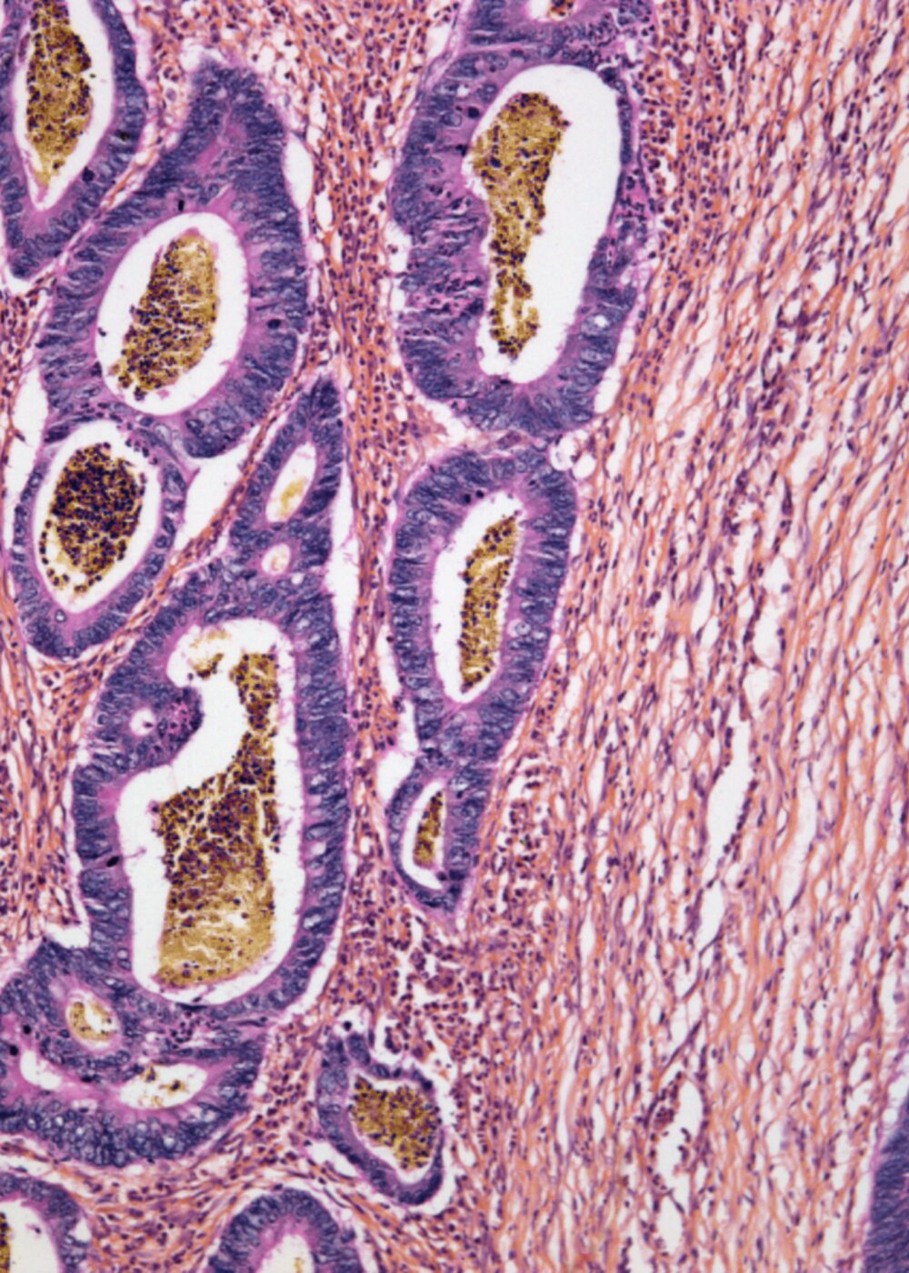
Colon cancer
For more than 20 years, Netcompany has actively contributed to EU Research Programs such as “Horizon Europe” (HE), European Defence Fund (EDF), and Digital Europe, several strands of which are devoted to cancer research, attempting to place pieces of the overall puzzle.
»Our vision is to create a change in the way colorectal cancer is screened in Europe«
Grigoris Antonopoulos, Netcompany Manager and head of Netcompany's contribution to DIOPTRA


The DIOPTRA team

The DIOPTRA team
DIOPTRA stands for Early Dynamic Screening for Colorectal Cancer (CRC) via Novel Protein Biomarkers Reflecting Biological Initiation Mechanisms, and there is a good reason CRC is a chosen subject.
»Colorectal cancer (CRC) is usually slow to develop – in cases taking up to 15-20 years to turn malignant and, as such, it is now considered as a highly preventable disease«, Grigoris says.
Despite its high degree of preventability, colorectal cancer is the third most common tumor in men and the second in women globally, accounting for 10% of all tumors worldwide. It ranks second in cancer-related deaths, only below lung cancer. Once malignant, upon initial diagnosis, 22% of cases are metastatic, while about 70% of patients will eventually develop metastatic relapse.
»The reason that death tolls are so high is largely practical. Biomarkers for colorectal cancers are difficult to establish, so many doctors simply urge patients to have a colonoscopy. But many, especially younger adults, avoid it due to colonoscopy’s invasive nature,« Grigoris Antonopoulos says.
DIOPTRA’s 3-year plan to bridge the gap between CRC being preventable and being prevented is twofold. First, the researchers will develop a simple blood screening test for protein biomarkers that pinpoints high-risk cases in actual need of colonoscopy. Second, they will develop a risk assessment model.

Light micrograph of colorectal cancer. Source: Getty.

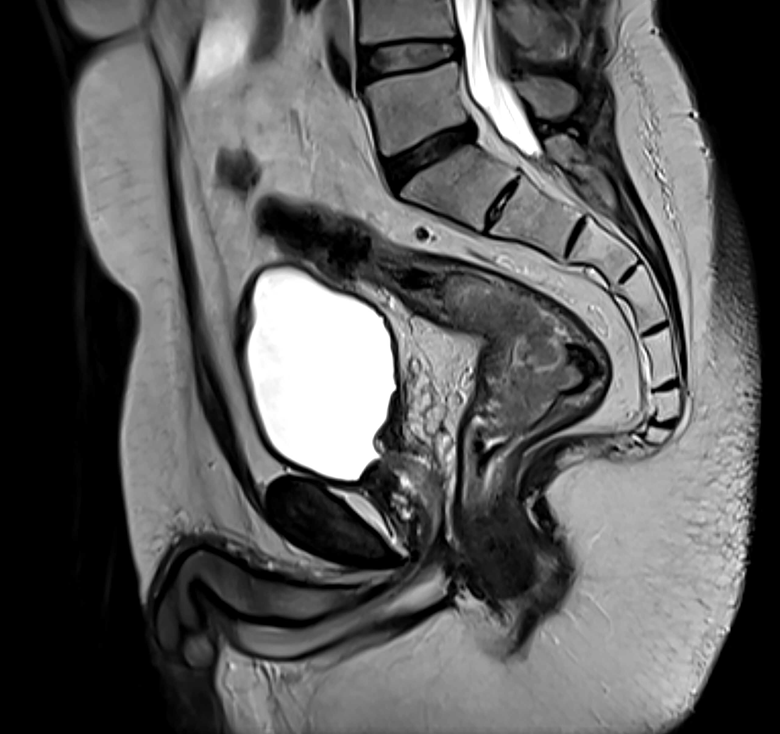
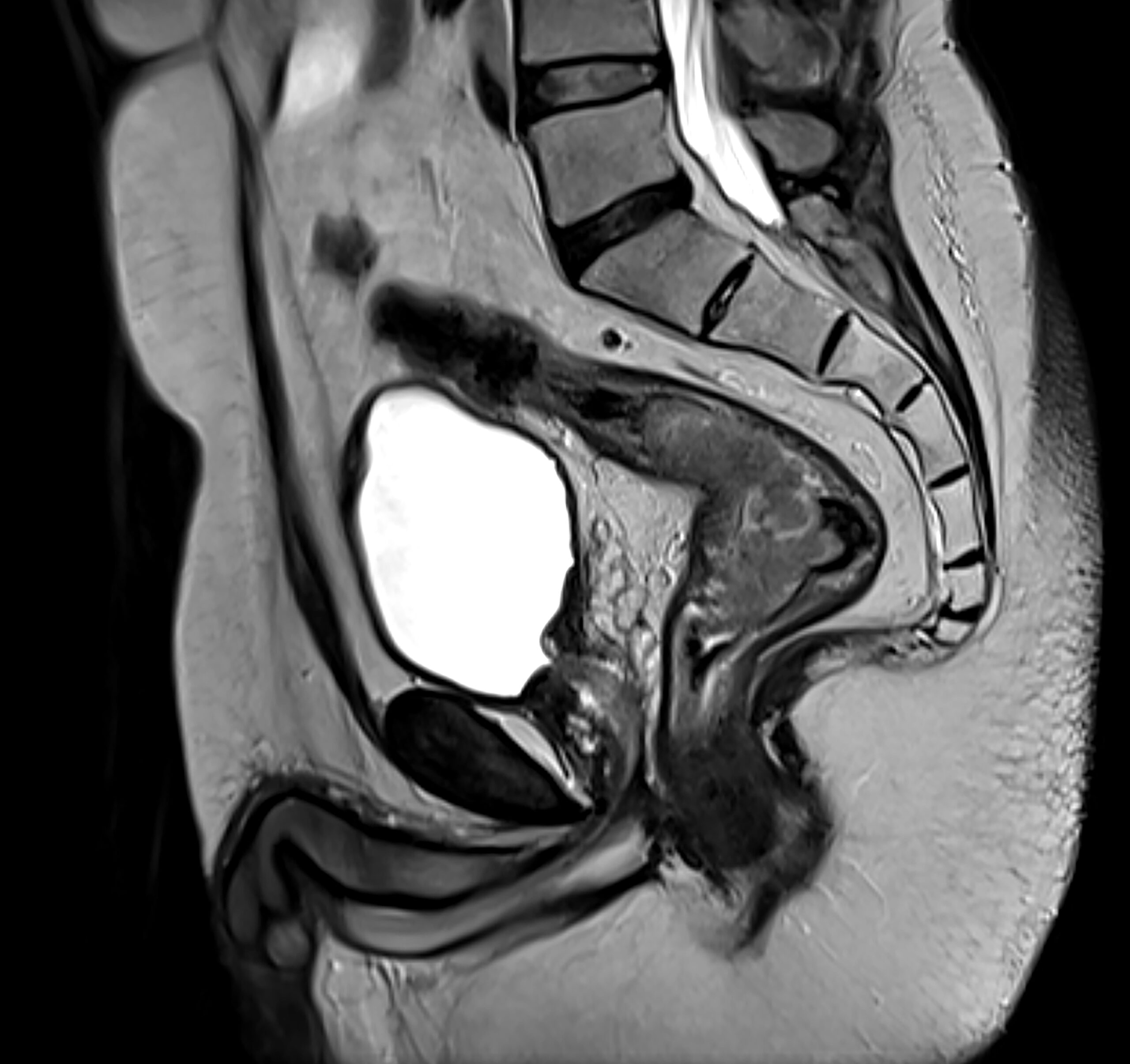
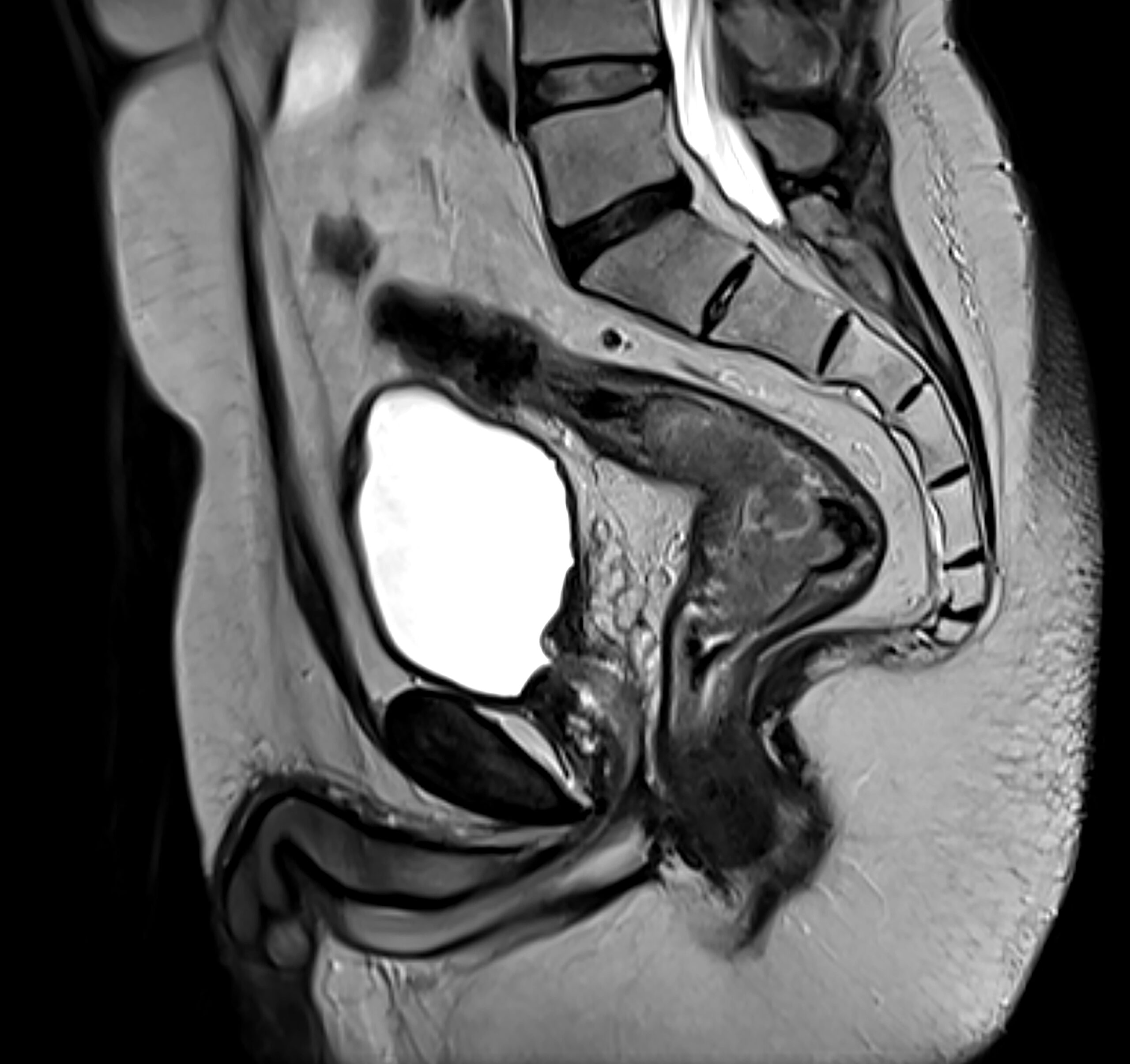
MRI image of colorectal cancer. Source: Getty.
As a system integrator on the project, Netcompany is now gathering, managing, and curating large, inhomogeneous datasets on colorectal cancer from sites spread all over Europe: clinical and demographic data, citizens’ survey data from behavioural questionnaires, and biopsy analysis results.
AI and genetic research will be used to discover novel CRC risk factors and risk stratification as well as biomarker discovery from patterns found in that huge pool of data.
Eventually, the work of DIOPTRA, spanning tight collaborations between 28 different European partners, from fields of science and technology to clinical partners and policymakers, will crystallize itself in two products: an AI-assisted early screening tool for clinicians and a health literacy and lifestyle recommendation tool for citizens.
DIOPTRA is one of many projects that improve our understanding of cancer and our ability to cure it. That comes, however, with a side effect.
On living a good life during and after cancer
»Cancer survivorship represents a huge health problem for European countries«, Dr. Olga Segou says, head of Netcompany’s contribution to the ASCAPE project (Artificial intelligence Supporting Cancer Patients across Europe).
In Europe alone, there are more than 12 million cancer survivors today. Many cancer survivors suffer from side effects and need support, but clinical visits are often hard to do with the required frequency.
»The whole premise of ASCAPE was that we needed some additional information on the day-to-day health of cancer patients, not easy to do with clinical visits«, Olga says.
That was especially needed during the COVID pandemic.
With ASCAPE, the goal was to create an AI-based follow-up of breast and prostate cancer patients on a personalised basis.
Olga and her team collaborated with clinical partners to monitor Quality of Life metrics based on certain interventions in the patient’s lives. The patients wore bracelets and smartwatches, filled out questionaries, and, every three months, held in-person dialogues with a clinician.


The graph shows patient's progression on QoL metrics (the solid black line) as well as ASCAPE AI predictions (the orange, dotted line)

The graph shows patient's progression on QoL metrics (the solid black line) as well as ASCAPE AI predictions (the orange, dotted line)
»The idea was to use that data to leverage Artificial Intelligence to provide intelligent interventions to improve cancer patients’ both physical and mental health«, Olga says.
The AI models were used for predicting the quality-of-life evolution for specific patients and propose interventions and recommended action based on this data, such as specific forms of exercise, therapy, family counselling, and monitoring for relapse indicators. The purpose was not only to provide patients with the means to better their day-to-day lives and manage their symptoms but also to provide relapse early warning when possible.
Netcompany ensured that the algorithms were rapidly deployable across the healthcare providers and clinical partners in Sweden, Greece, and Spain.
All patient data was pseudonymised and never left the premises of the participating site except if completely encrypted. A suite of privacy-preserving technologies was used that allowed healthcare providers to run the algorithms locally with their own data and share their QoL data with a shared centralised cloud infrastructure. In this way, medical data was never exchanged and therefore never compromised.
»It was very important that what we were proposing was ethically and legally sound, and we made sure to respect the human rights of the patients. That’s the European way of doing things«, Olga says.
We live in an age where cancer is still a big problem. We have been for ages. But we no longer lament, as Imhotep did, that there is “no treatment” for this Emperor of all Maladies.
DIOPTRA and ASCAPE are merely two small pieces in the continuing fight against cancer.
If the fight sometimes seems bleak, it is well to remember that cancer research has reached a point where part of the funding is now devoted to improving survivorship.
Netcompany is proud to do our small part in improving the lives of cancer patients across Europe.
Explore more stories
In our stories, we trace a line from the world of bits and bytes to the lives and emotions of the humans that drive it.






